See what's possible with expert orthodontic care at Ellie Orthodontics in San Clemente and Rancho Mission Viejo. Our smile gallery showcases real before and after transformations, from braces to Invisalign to complex cases. Every smile tells a story of confidence gained through personalized treatment.
Braces & Invisalign Before & After Photos
Every smile tells a story! These are just a few of our favorites from patients in San Clemente, Rancho Mission Viejo, and throughout South Orange County. Browse our collection of orthodontic transformations and see what's waiting for you.
Braces
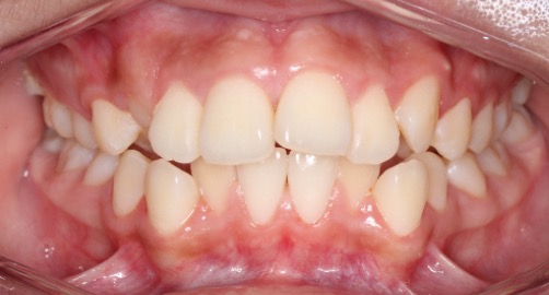
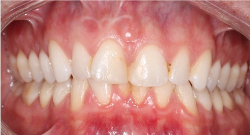
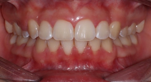
Severe crowding and an overbite were pushing teeth out of position and affecting the bite. Braces resolved the crowding and corrected the overbite for a properly aligned smile.
Invisalign
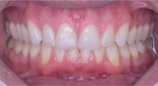
Crowding and poorly placed fillings were compromising both appearance and dental health. Invisalign realigned the teeth and set the stage for better restorative work.
Braces
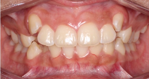
Severe crowding and impacted teeth left little room for proper alignment. Braces created space, guided the impacted teeth into position, and delivered a full, even smile.